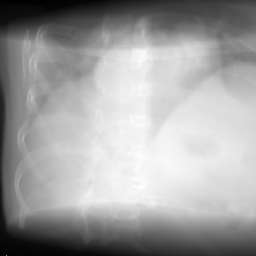
Hi,
I want to extract the bones with the corresponding bounding box from this x-ray like image. How can I achieve it from openCV python. Any help/code will be appreciated.
Hi,
I want to extract the bones with the corresponding bounding box from this x-ray like image. How can I achieve it from openCV python. Any help/code will be appreciated.
sorry, to say so, but chances you can get anything from that image are close to zero. (too much noise, tissue, lack of contrast, overlapping bones)